Have you noticed a wet feeling of something inside your ear? Or worse still, something watery and smelly leaking out of your ear, perhaps with ear pain? At Dr Annabelle Leong’s ENT clinic in Singapore, she sees many patients who suffer from ear discharge and helps them to investigate why they have this ear condition to make sure the discharging ear gets better quickly.

Remember, a wet discharging ear is abnormal as a normal healthy ear is dry without any blocked runny feeling inside. Almost always, your ear discharges because there is some sort of ear infection brewing inside. Whether this is due to just impacted wax or an infection of either the ear canal skin and/or eardrum, your friendly ENT specialist in Singapore would examine your ears inside with an endoscope (special ear camera) and a microscope to carefully scrutinise the eardrum for any perforations (“ruptured eardrum”) or the growth of small cysts of destructive skin lurking behind the eardrum. If it’s just wax, then it’s usually quite simple to clear out gently with some special fine ear instruments, including micro-suctioning or sucking out the wax under the microscope. Any ear canal skin infection would need the application of antibiotic cream inside and a course of topical eardrops prescribed. Sometimes, we see fungus growing inside people’s ears so this needs complete thorough clearance and anti-fungal medication.
However, if it turns out to be something bigger affecting the eardrum, such as an eardrum perforation, then this would need surgery to repair the “hole” in the eardrum if it doesn’t heal. We would usually allow about 6 weeks for natural recovery before we consider intervening with surgery to fix the ruptured eardrum. In the meantime, you would have to keep your ruptured eardrum completely dry and this means no swimming at all. You should also protect your eardrum from getting wet in the shower to prevent further infection from occurring.
A very common cause of ear discharge is infected eczema of the ears, a condition which starts off with dry itchy skin, making you feel like you just can’t stop digging your ears. Then when the dry itchy skin becomes inflamed, it cracks and starts to ooze fluid out of your ear, leading to the growth of bacteria and fungi. Sometimes, the infection can get so severe that the whole entrance to the ear itself completely swells up to give rise to a painful blocked ear, with discharge crusting away on the outside or even leaking down your neck. I recall having no choice but to admit a couple of patients for IV medications as oral steroids and antibiotics just weren’t helping, with further input from my Dermatology colleague. Basically, the more you dig, the itchier your ear gets; the itchier your ear gets, the more you will feel like digging your ears!
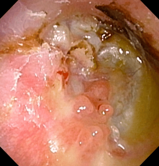
If the ear discharge is related to the growth of destructive skin cysts behind the eardrum, called “cholesteatoma”, then these cysts need to be surgically removed. Otherwise, they will just continue to grow bigger and destroy the surrounding structures around them, namely the little ear bones which help you to hear. More advanced disease means erosion into the facial nerve, the important nerve which controls movement of your facial muscles, leaving you with a paralysed half of your face. The cholesteatoma may also eat into your inner ear, permanently damaging your inner ear and hence causing total hearing loss and persistent dizziness with imbalance. Even worse, there is a potential risk of the disease growing upwards towards the brain and thinning out or eroding the bony plate which usually separates the ear from the brain itself. This may then lead to a CSF leak, a leak of brain fluid down into the ear and may sometimes rupture through the eardrum to cause a persistent watery fluid discharge from your ear: Yes, this special CSF leak looks just like clear water coming out from your ear and needs to be repaired quite urgently to prevent infection from setting in i.e. meningitis or even a brain abscess (collection of infected pus in the brain). Such patients tend to be rather unwell and may even present as an emergency as they may suffer a seizure or fall unconscious.
Malignant tumours of the temporal bone, the flat bone that you can feel behind your ear, may also arise and may continue to grow inside your ear without you knowing at all until it bursts out of your ear with a bloodstained discharge, hearing loss, dizziness or causes a persistent blocked feeling inside your ear. Depending on the extent and spread of the ear tumour, using imaging with a CT and/or MRI scan, treatment may be considered in the form of either surgery and/or radiation therapy. Chemotherapy with IV or oral drugs don’t really have much of a role in the treatment of malignant ear tumours.
So when should you worry if you have a discharging ear?
Here are ten signs and symptoms which Dr Annabelle feels you should watch out for:
- Persistent blocked ear, especially if it’s just one side
- Persistent hearing loss
- Sudden hearing loss
- Persistent ear pain
- Persistent ear discharge
- Swelling of the outer ear
- Enlarged neck lumps (lymph glands)
- Persistent or recurrent headaches
- Weakness or reduced sensation (numbness) of that same half of the face
- Difficulty closing your eye on the same side as your discharging ear
